X-Ray

X-Ray– Town Hospital

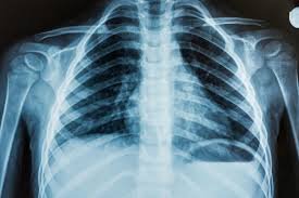
The X-Ray Department at Town Hospital is equipped with modern digital radiography technology to provide accurate, quick, and safe diagnostic imaging services. X-ray imaging plays a vital role in diagnosing a wide range of medical conditions, helping doctors detect injuries, diseases, and abnormalities with precision. Our department operates under strict safety protocols to ensure minimal radiation exposure while delivering high-quality images for reliable diagnosis.We offer X-ray services for various medical needs, including bone fractures, joint dislocations, chest infections, lung conditions, spinal disorders, dental evaluations, and abdominal issues. Our advanced digital X-ray systems produce clear images instantly, allowing faster reporting and timely medical decisions. This efficiency is especially crucial in emergency cases where quick diagnosis can be lifesaving.

Town Hospital’s X-Ray unit is managed by experienced radiographers and supervised by qualified radiologists who ensure accurate imaging and interpretation. The department supports all major clinical areas, including Orthopedics, General Medicine, Surgery, Emergency, and OPD services. Both outpatient and inpatient X-ray facilities are available for patient convenience.

Patient safety and comfort are our top priorities. We follow all standard radiation safety guidelines and use protective measures such as lead aprons when required. The X-Ray Department at Town Hospital is committed to delivering dependable, affordable, and prompt diagnostic services, supporting high-quality healthcare and better treatment outcomes for every patient.

X-ray